A volte basta uno spazio tra i denti per cambiare il modo in cui ci vediamo allo specchio.
Il diastema può sembrare solo un dettaglio, ma per molte persone diventa qualcosa che condiziona il sorriso, le foto, persino il modo di parlare con gli altri. C’è chi evita di sorridere, chi copre la bocca istintivamente, chi sente di non apparire come vorrebbe — e tutto questo può pesare sulla sicurezza personale.
La buona notizia è che oggi il diastema può essere valutato e corretto in modo mirato, rispettando l’estetica del volto e la salute dei denti. Il Dott. Giuseppe Genzano, insieme al team della Clinica Ireos Dental, accompagna i pazienti in un percorso consapevole: prima si comprende la causa dello spazio, poi si sceglie la soluzione più adatta — senza forzature, con attenzione alla funzione e all’armonia del sorriso.
Ritrovare la serenità nel sorridere non è solo una questione estetica: significa sentirsi più liberi, più spontanei, più sicuri di sé. E tutto inizia da una valutazione attenta e da informazioni chiare.
Indice
Cos’è il diastema dentale
Il termine diastema dentale deriva dal greco e significa “intervallo” o “spazio”: indica infatti la presenza di un distacco visibile tra due denti adiacenti, più frequentemente localizzato nella zona anteriore del sorriso.
Tra le varie malocclusioni dentali, il diastema è una delle più comuni, insieme a condizioni come il morso aperto, il morso crociato, il morso profondo e l’affollamento dentale.
Nella maggior parte dei casi il diastema interessa gli incisivi centrali superiori; in questa circostanza viene definito diastema intercisivo mascellare, noto anche come “finestra”. Si tratta di un’alterazione prevalentemente estetica, che solo raramente comporta ripercussioni funzionali sulla masticazione.
Il diastema intercisivo mascellare è molto frequente durante la dentizione mista.
Quando lo spazio tra i denti supera i 2 millimetri, può rendersi necessario un trattamento ortodontico; se invece l’intervallo è più ridotto, spesso tende a chiudersi spontaneamente con la crescita.
Una semplice visita odontoiatrica permette di individuare le cause del diastema e valutare il trattamento più indicato. In alcuni casi, però, lo spazio persiste anche in età adulta e può diventare fonte di disagio psicologico o insicurezza nel mostrare il sorriso.

Cause del diastema
Nella maggior parte dei casi, il diastema compare durante la fase di dentatura da latte e tende a ridursi spontaneamente con l’eruzione dei denti permanenti. I denti definitivi, infatti, hanno dimensioni maggiori e spesso occupano lo spazio residuo, riportando l’arcata a un aspetto armonico.
Quando però lo spazio persiste anche dopo la crescita, il diastema può diventare un elemento estetico evidente e, in alcuni casi, fonte di insicurezza o disagio psicologico.
Le cause del diastema sono diverse e possono riguardare sia la crescita scheletrica, sia le abitudini della prima infanzia, sia fattori funzionali:
- sproporzione tra denti e mascella: l’arcata è troppo ampia rispetto alle dimensioni dei denti, lasciando spazi vuoti;
- abitudini orali scorrette (ciuccio, suzione del pollice, biberon prolungato);
- frenulo labiale superiore ipertrofico che impedisce l’avvicinamento degli incisivi;
- deglutizione atipica, con spinta della lingua sugli incisivi;
- assenza congenita o dimensioni ridotte di alcuni denti;
- migrazione dentale legata a malattia parodontale negli adulti;
- piccole cisti dentali o anomalie rare di sviluppo dei denti laterali.
Nei bambini più piccoli, il diastema è spesso correlato a abitudini ripetitive che esercitano micro-spinte sulla dentatura in crescita:
- uso del ciuccio oltre i 3 anni;
- suzione del dito dopo i 2 anni;
- biberon protratto nel tempo;
Nei più grandi, invece, possono contribuire gesti quotidiani come:
- mordere penne o matite,
- mangiarsi le unghie,
- tenere oggetti in bocca a lungo.
Una causa frequente è la sproporzione tra mascella e denti: quando l’osso è più grande rispetto agli elementi dentari, i denti si distribuiscono lasciando spazi visibili.
In altri casi, il frenulo labiale voluminoso può inserirsi tra gli incisivi e impedire la chiusura dello spazio.
In una piccola percentuale di situazioni, il diastema è legato a condizioni più complesse (come parodontite avanzata o cisti) e richiede una valutazione specialistica approfondita.
Per questo motivo, è importante eseguire una visita odontoiatrica: lo specialista potrà capire se il diastema è destinato a chiudersi spontaneamente oppure se sarà necessario programmare un trattamento mirato, evitando complicazioni e proteggendo l’estetica del sorriso.
Il diastema dentale può provocare problemi?
Nella maggior parte dei casi, il diastema dentale rappresenta soprattutto un inestetismo e non altera in modo significativo la funzione masticatoria. Tuttavia, quando lo spazio tra i denti diventa ampio o quando è associato ad altre anomalie dell’occlusione, possono comparire disturbi che è bene non trascurare.
Uno spazio interdentale marcato può favorire piccoli traumi della papilla interdentale (il tessuto tra un dente e l’altro), con irritazione e sanguinamento ricorrenti. In queste zone, inoltre, è più facile che si accumulino placca e residui alimentari, aumentando il rischio di gengivite e infiammazione cronica.
In alcuni pazienti adulti, il diastema può essere anche la conseguenza di una malattia parodontale non trattata: la perdita progressiva di osso e di supporto gengivale comporta lo spostamento dei denti, che tendono ad aprirsi creando spazi visibili. In questi casi, oltre all’aspetto estetico, possono comparire:
- sanguinamento gengivale durante lo spazzolamento;
- sensibilità dentale e fastidio alla masticazione;
- mobilità dentale progressiva;
- alitosi persistente dovuta alla presenza di batteri patogeni;
- recessione gengivale con esposizione delle radici.
Per questo motivo, soprattutto in fase di crescita, è importante osservare eventuali abitudini che possono favorire la comparsa del diastema e programmare controlli periodici. Nei bambini, il monitoraggio permette di capire se lo spazio tenderà a chiudersi spontaneamente oppure se sarà necessario intervenire per tempo, prevenendo complicanze funzionali ed estetiche.
In presenza di sanguinamento, dolore, spostamenti improvvisi dei denti o difficoltà nella masticazione, è consigliabile rivolgersi al dentista per una valutazione: identificare precocemente la causa del diastema consente di scegliere il trattamento più adeguato e proteggere la salute del sorriso nel lungo periodo.
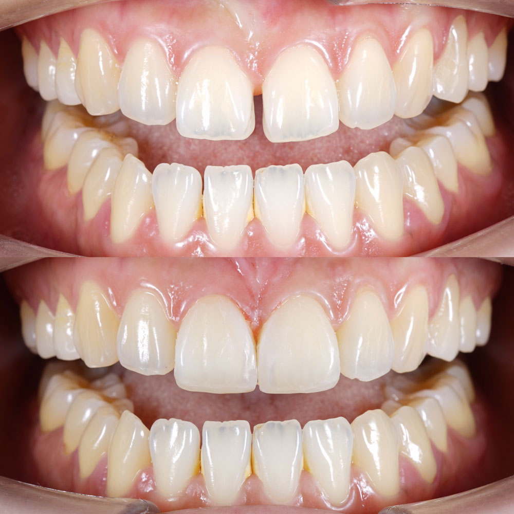
Diastema prima dopo

Come chiudere il diastema
Qualora il diastema si manifesti in fase di dentatura da latte, potrebbe trovare risoluzione tranquillamente in seguito alla nascita della dentatura definitiva.
I canini definitivi, di dimensioni maggiori rispetto a quelli da latte, effettueranno una pressione tale da avvicinare gli incisivi tra loro.
E’ sempre raccomandato rivolgersi ad un ortodontista, per una visita di controllo, per agire tempestivamente, qualora fosse necessario.
Nel caso in cui il paziente sia in età adulta, le opzioni possono essere l‘ortodonzia invisibile Invisalign e la frenulectomia.
L’ortodonzia invisibile si aggiudica il prima posto come rimedio per “curare” il diastema: trattandosi di un apparecchio invisibile, risulta poco invasivo e permette un utilizzo privo di disagi, che non interferisce con la quotidianità.
Il diastema mascellare mediano è spesso complicato dall’inserzione del frenulo labiale in un incavo dell’osso alveolare costituendo una banda di tessuto fibroso tra i due incisivi centrali.
In questi casi sarà necessario rimuovere il tessuto fibroso con un intervento chirurgico chiamato frenulectomia
In sostanza la frenulectomia consiste in un piccolo intervento chirurgico, svolto grazie alla tecnica laser, che ha lo scopo di ridurre il frenulo, così da ottenere un allineamento dentale corretto.
In questi casi è opportuno prima allenare i denti e poi eseguire l’intervento.
Questo perché se la frenulectomia viene eseguita quando persiste ancora lo spazio tra i denti incisivi il processo guarigione formerà un tessuto cicatriziale che ritarderà il trattamento: potrebbe comportare uno spazio più difficile di prima da chiudere.
Se lo spazio del diastema è ridotto sarà possibile chiuderlo completamente prima dell’intervento mentre se lo spazio è grande dovrà essere chiuso almeno in parte cosi da far in modo che i denti vengano uniti subito dopo.
Questa procedura consente che la guarigione avvenga a denti uniti e che il tessuto cicatriziale post intervento stabilizzi i denti invece che ostacolare la chiusura dello spazio.
Come prevenire il diastema
La prevenzione del diastema dentale dipende soprattutto dalla causa che lo determina.
Quando la distanza tra i denti è legata a fattori genetici o alle caratteristiche anatomiche delle arcate, non è possibile impedirne completamente la comparsa: si tratta di una condizione ereditaria che fa parte della struttura ossea e dentale del paziente.
In molti altri casi, però, è possibile ridurre il rischio di sviluppare spazi interdentali adottando comportamenti corretti fin dall’infanzia e mantenendo nel tempo una buona salute parodontale.
Un ruolo fondamentale lo svolge la prevenzione delle malattie gengivali. Arrossamento, gonfiore, sanguinamento o dolore alle gengive possono essere il segnale di una parodontite in fase iniziale: l’infiammazione, se trascurata, può favorire il movimento dei denti e la formazione del diastema. In presenza di questi sintomi è importante rivolgersi tempestivamente al proprio dentista per una valutazione accurata.
Per proteggere denti e gengive nel tempo, è essenziale seguire alcune abitudini semplici ma decisive:
- spazzolare i denti almeno due volte al giorno con tecnica corretta;
- utilizzare ogni giorno filo interdentale o scovolini;
- limitare zuccheri, fumo e bevande acide che favoriscono infiammazioni gengivali;
- eseguire sedute di igiene professionale periodiche;
- programmare controlli regolari per intercettare precocemente eventuali anomalie dell’occlusione.
Nei bambini è altrettanto importante monitorare eventuali abitudini viziate come succhiamento del pollice, uso prolungato del ciuccio o spinta linguale, che nel tempo possono alterare la posizione dei denti e favorire la comparsa di spazi.
Un’igiene orale domiciliare accurata, associata a visite periodiche, rappresenta quindi il modo migliore per preservare il parodonto, mantenere stabile l’allineamento dentale e ridurre il rischio che un diastema si sviluppi o peggiori nel tempo.
Se noti la comparsa di spazi tra i denti o cambiamenti nel sorriso, una valutazione specialistica permette di comprendere la causa e pianificare l’eventuale trattamento più adeguato.
A chi rivolgersi per correggere il diastema a Firenze?
Per correggere un diastema dentale in modo efficace e sicuro è importante affidarsi a professionisti esperti in odontoiatria e ortodonzia. Alla Clinica Ireos Dental di Firenze troverai un team multidisciplinare specializzato nella diagnosi e nel trattamento delle anomalie dentali, compresi gli spazi interdentali evidenti.
Il percorso di valutazione inizia con una visita odontoiatrica completa, durante la quale il medico analizza l’occlusione dentale, la relazione tra le arcate, la salute delle gengive e la funzione masticatoria. Se necessario, vengono eseguiti esami strumentali per comprendere con precisione la causa del diastema e scegliere la terapia più adeguata.
Il Dott. Giuseppe Genzano, odontoiatra con consolidata esperienza clinica, segue ogni paziente con attenzione personalizzata. In base alle esigenze e all’età del paziente, il piano terapeutico può includere:
- trattamento ortodontico con apparecchi fissi o mobili per avvicinare i denti;
- allineatori trasparenti per una correzione discreta e confortevole;
- interventi di odontoiatria estetica come bonding o faccette quando indicato;
- procedure specifiche come la frenulectomia se il frenulo labiale superiore è causa del diastema.
Sia nei bambini che negli adulti, l’approccio di Ireos Dental è orientato alla soluzione personalizzata, con l’obiettivo di migliorare non solo l’estetica del sorriso ma anche la funzionalità dell’occlusione e la salute orale complessiva.
Se desideri una valutazione specialistica per il diastema, puoi prenotare una visita presso la Clinica Ireos Dental a Firenze. Ti verrà fornita una diagnosi accurata e un piano di cura pensato su misura per te, con tempi e risultati realistici.

Medico Chirurgo e Odontoiatra si è laureato all’università di Firenze. Iscritto all’ordine dei medici di Firenze con iscrizione nr. FI-167 si occupa nella pratica clinica di implantologia e ortodonzia digitale.


